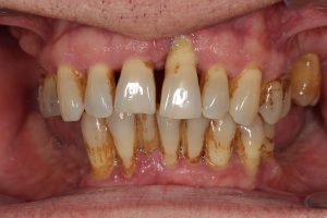
Before & After Transformations

Before & After Transformations for Various Procedures

At Gentling Dental Care, we’re dedicated to giving our patients life-changing smiles. Below, you’ll see the remarkable results achieved through our wide range of dental services. Explore the transformative power of expert dental care, and discover what’s possible for your smile!

Are you ready to transform your smile? Book a consultation with our experienced team today to discuss your options at Gentling Dental Care. We look forward to hearing from you!

Meet Your
Award-Winning Doctors

A Qualified Team of Dentists Dedicated to Your Smile

At Gentling Dental Care, we strongly believe that five heads are better than one – that’s why our dental office features a team of knowledgeable doctors who all bring unique strengths and skills to the table! At the same time, they share a similar passion for trustworthy, family-friendly dentistry that always adheres to very high clinical standards. To put it simply, they never perform care that they wouldn’t recommend to their very own loved ones.

Dentist in Rochester

Dr. Ryan Henrichsen

Dentist in Rochester

Dr. Phil Pattee

Dentist in Rochester

Dr. Melissa McColloch

Dentist in Rochester

Dr. Erich Eichwald

Dentist in Rochester

Dr. Scott Gruwell

Read Our Reviews

The Proof is in Our Patients

“Gentling staff graciously fit me into a busy day for a tooth pain emergency. The dentist and assistant quickly found the problem, applied a temporary fix and gave me a treatment plan for follow up. Everyone clearly knew what they were doing. Everyone was friendly and welcoming. All good here!”

- George D.

“I had a wonderful experience during my recent visit. The staff were not only friendly and professional but also genuinely cared about me as both a person and a patient. They consistently take the time to get to know you, your family, and your care needs. Additionally, the services provided were top-notch. Overall, I highly recommend this dental practice to anyone looking for exceptional care.”

- Joe D.

“I had chipped the corner of my front tooth when I was a kid and had a composite filling that time really took a toll on. So, I got an appointment scheduled to get a new filling! Dr. Melissa and Kristie did a wonderful, efficient, and painless job on my tooth. They matched the color and shape perfectly. You can't even tell I have a filling! Thanks for your great work!”

- Meredith M.

“Gentling 's dentists and staff are all very kind, patient, and friendly. Our entire family agreed upon a five star rating for Gentling. We highly recommend Gentling for any family, kids and adults.”

- Todd Z.
Dentist in Rochester
Dentist in Rochester

See What Makes Us Different

Our Friendly Dental Team Treats Everyone Like Family

1-on-1,
Thorough Consultation

Customized
Treatment Plan

Every Dental
Need Covered

Committed to Continuous Improvement